您现在的位置:首页 > 产品服务> 医学知识库 > 《肺癌早诊新突破:无痛无创揪出“潜伏癌”,为生命护航》
产品服务
AI 摘要

文章介绍了肺癌早期诊断的新技术——DNA甲基化血液检测(斐维欣®)。该技术通过检测血液中SHOX2和PTGER4基因的甲基化状态,无创、高灵敏度(86.43%)地发现早期肺癌信号,尤其适用于CT发现肺结节但难以活检或判断性质的高风险人群。文中通过真实案例展示了该技术如何辅助医生诊断微浸润性腺癌并指导手术,强调了其在弥补传统方法不足、实现早诊早治方面的价值。

  • DNA甲基化血液检测(斐维欣®)是一种无创、高灵敏度(86.43%)的肺癌早诊技术,仅需一管血即可捕捉癌变信号。
  • 该技术特别适用于CT发现肺结节但活检风险高或性质不明的患者,为临床决策提供关键补充依据。
  • 通过真实案例证明,该技术能有效辅助诊断早期肺癌(如微浸润性腺癌),实现早干预和良好预后。
  • 文章明确了该技术的适用人群,包括长期吸烟者、有肺癌家族史、职业暴露者及CT发现不明结节者。
这篇文章讨论了哪些主题?

肺癌早诊,DNA甲基化检测,液体活检,SHOX2基因,PTGER4基因,肺结节,无创检测,安龙基因,早期筛查,微浸润性腺癌

文章核心观点是什么?

肺癌早期发现有多难?你知道吗?我国每年约106万人确诊肺癌其中70%发现时已是晚期[1]有些人无明显症状却突然被确诊肺癌晚期这究竟是咋回事?别慌科技正在改变这一切一种叫“DNA甲基化检测”的黑科技仅需一管血液就能精准捕捉癌变信号准确率高达90%它就像给传统筛查装上了"夜视仪"让早期肺癌无处遁形!(图片来源于网络)生死时速:真实案例里的"逆转绝杀"【案例介绍】患者王某(化名),68岁女性,因长期接触

数据来源:原文链接

《肺癌早诊新突破:无痛无创揪出“潜伏癌”,为生命护航》

发布时间:2025-11-12 阅读量:1318


 肺癌早期发现有多难?

你知道吗?

我国每年约106万人确诊肺癌

其中70%发现时已是晚期[1]

有些人无明显症状

却突然被确诊肺癌晚期

这究竟是咋回事?

别慌


科技正在改变这一切

一种叫“DNA甲基化检测”的黑科技

仅需一管血液

就能精准捕捉癌变信号

准确率高达90%

它就像给传统筛查装上了"夜视仪"

让早期肺癌无处遁形!

(图片来源于网络)



生死时速:真实案例里的"逆转绝杀"

【案例介绍】

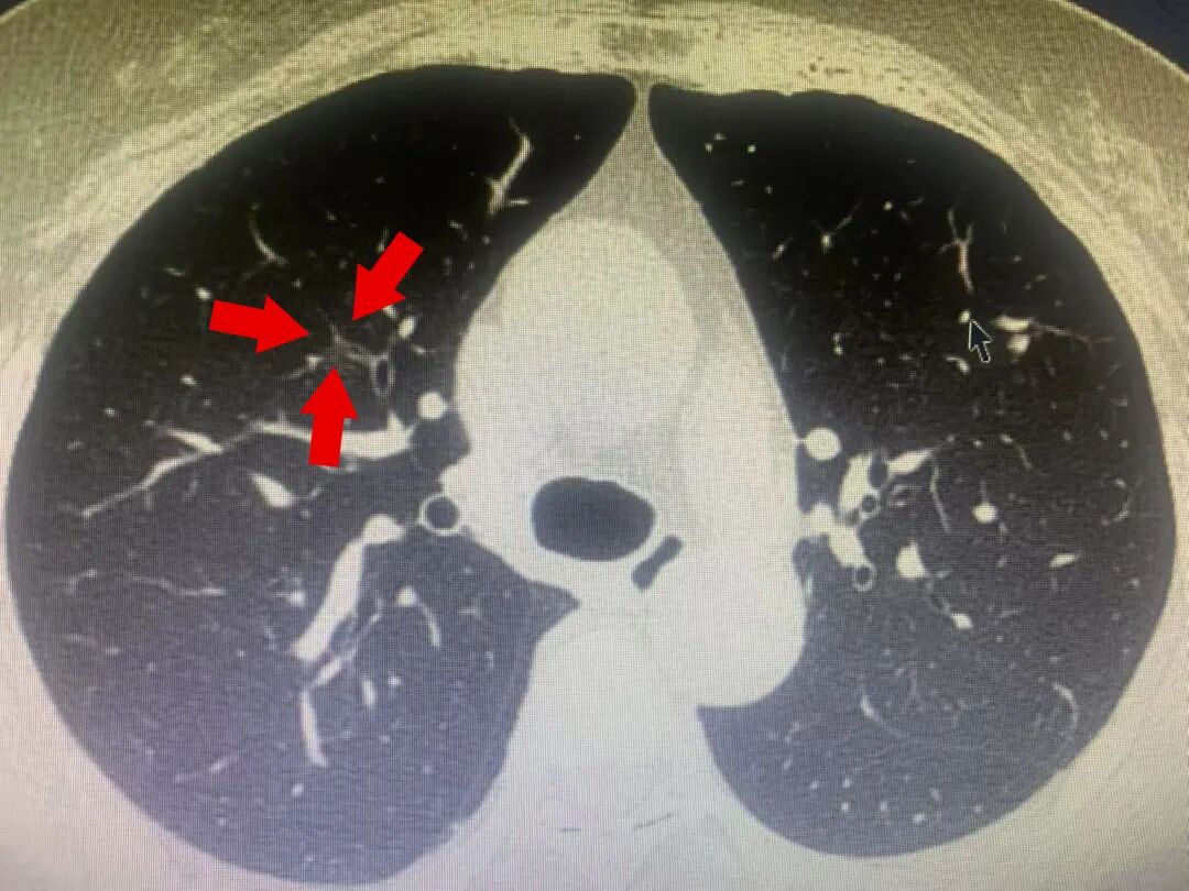
患者王某(化名),68岁女性,因长期接触油烟,属于肺癌高危人群。2025年01月04日体检时发现右肺结节

CT 检查显示:右肺存在一枚直径约8毫米的结节,该结节位置较深且邻近血管,使得活检操作风险较大,难以直接确定其性质

初步诊断为:结节性质不明,存在炎症或早期肿瘤的可能性,需进行进一步检查。

患者及家属因活检受限而深感忧虑

担心病情延误

2025年01月10日

医生推荐了 “斐维欣®-人SHOX2/PTGER4基因甲基化检测”


检测结果如下:

SHOX2 基因 CT 值:34.6

PTGER4 基因 CT 值:38.0

结论:检测结果阳性,提示高度疑似肺癌。


2025年01月12日

结合血液检测阳性结果

医生认为需尽快进行手术干预


手术采用 “单孔 VATS(胸腔镜)右上肺段切除术”,术中冰冻切片病理检查显示 “微浸润性腺癌”(肿瘤大小 0.8×0.6×0.5 厘米)。手术过程顺利,患者恢复良好,病理检查确诊为肺部微浸润性腺癌[ⅠA1 期(T1miN0M0)】

【案例提示】

本案例充分展现了液体活检技术在肺癌早期诊断中的重要价值,尤其是对于活检风险较高的患者斐维欣®甲基化检测提供了一种安全有效的诊断途径。


探秘"基因猎手":它到底咋工作的?


这项技术的原理就像在基因里装了个"监控探头"。在癌变细胞里,SHOX2和PTGER4基因的启动子区域会发生超甲基化,相当于给抑癌功能"上了锁"


而癌细胞会脱落游离DNA(ctDNA)进入血液,高灵敏度技术就能捕捉到这些「癌信号」

想象一下,它就像在血液里玩"捉迷藏",但这次轮到癌细胞当"藏"的,而我们的技术就是永不放弃的"猎手"



吊打传统方法:它的优势有多强?

Su-Ju Wei [2]等人的研究指出,目前临床上肺癌领域应用的传统肿瘤标志物检测灵敏度较低,通常在30%-50%之间。而斐维欣®-人 SHOX2/PTGER4 基因甲基化检测灵敏度高达86.43%,特异性达到92.42%。更厉害的是,它能在肿瘤超早期就能捕获癌症的信号!

(某单中心数据)


对比一下更直观:传统方法像在迷雾里摸索,而这项技术就像装上了GPS导航,直接定位癌细胞!



谁最需要这项检测?

如果你或身边人符合以下情况,真的别犹豫


1)年龄≥45岁且长期大量吸烟

2)有肺部慢性疾病史(如反复肺部感染、慢性支气管炎等)

3)长期接触高危职业环境(如金属矿区工人、接触无机砷等)

4)一级亲属有肺癌家族史

5)CT发现肺结节但难以判断良恶性

6)出现反复咳嗽、痰中带血等症状



写在最后:给自己和家人一个安心

别再让悲剧重演!当CT陷入诊断盲区,微小结节、磨玻璃影难以辨别时,这项无创血液检测就是医生的「第二双眼睛」


早一步检测,或许就能多十年生命!


参考文献:

[1] 肺癌筛查与早期诊断的研究现状与挑战[J]. 中国科学: 生命科学, 2022, 52: 1603–1611

[2] Wei SJ, Wang LP, Wang JY, Ma JX, Chuan FB, Zhang YD. Diagnostic Value of Imaging Combined With Tumor Markers in Early Detection of Lung Cancer. Front Surg. 2021 Nov 26;8:694210. doi: 10.3389/fsurg.2021.694210. PMID: 34901134; PMCID: PMC8661533.


— END —


安龙基因/Introduction/

安龙基因成立于2016年,秉持以“帮助癌症患者知道更早,感觉更舒服,生活更长久”为使命,立足临床需求,专注开发肿瘤早筛早诊试剂和智能化肿瘤基因甲基化检测平台,旨在为临床医生提供更精准的临床决策依据。

公司拥有多个国内首创癌症早筛早诊产品,目前已推出独家“AI+分子技术+设备平台”核心专利和产品——斐维欣®早期肺癌基因甲基化检测试剂盒(国械注准20243402148)和智能化肿瘤基因甲基化检测系统。

同时公司成功开发出OmegaSeq扩增子捕获建库、多重引物/探针双阻断ctDNA甲基化检测以及自动化数据分析等多项肿瘤精准检测分析技术,搭建PCR、数字PCR、一代测序、二代测序等在内的多种分子诊断平台,为临床提供肿瘤免疫、靶向用药指导、早期筛查、预后判断及遗传性肿瘤筛查等全周期医学诊断服务。公司以满分成绩通过多项全国临床检验室间质量评价,并获得“国家高新技术企业”、“中国隐形独角兽500强”、“安徽省战略新兴产业集聚发展基地”、“安徽省高层次科技人才团队”、“安徽省企业研发中心”等多项荣誉称号。

安龙基因

安龙医学




精准医疗时代刚刚来临,预示着我们的长途跋涉才刚刚启程。安龙基因将会用科学守护生命之光!